귀 대상포진 증상 후유증 알아보기

몇 년 전 저는 귀 대상포진에 걸렸었습니다. 사실 처음엔 대상포진인 줄도 몰랐습니다. 귀안에 수포가 생겼는데, 귀 대상포진이라는 진단을 받기까지 여러 병원을 다녀왔고, 다른 진단을 받아서 맞지 않는 약만 먹으며 힘든 시간을 보냈었습니다. 혹시 나도 귀 대상포진인가?라는 의심이 드신다면 제가 겪은 증상을 말씀드릴 테니 한번 비교해 보시길 바랍니다. 그 외에도 후유증도 알려드리겠으니 귀 대상포진이라는 의심이 드신다면 바로 병원에 가셔서 진료를 받고 빠른 치료를 받아보시길 바랍니다.
목차
1. 대상포진이란?
2. 발생 주요부위
3. 비슷한 질환
4. 대상포진 증상
5. 후유증
6. 예방방법
대상포진이란?
대상포진이란? 피부에 발진이나 물집이 생기면서 통증도 함께 오는 바이러스성 질환입니다. 어렸을 때 수두에 걸려보신 적이 있으신가요? 만약에 걸려보신 적이 있다면, 대상포진이 올 수도 있습니다. 수두-대상포진 바이러스가 몸속에서 잠복해 있다가 면역력이 약해지거나 할 때 다시 나타난다고 합니다. 생각해 보니 저도 유치원생 때 수두에 걸렸던 게 기억이 납니다. 덕분에 소풍을 못 가서.... 잊지 못하고 머릿속에 콕 박혀있습니다 ^^; 암튼, 대상포진은 대부분 면역력이 떨어질 때 거의 60세 이상의 어른들에게 발병한다고 합니다. 하지만 요즘은 나이불문하고 젊은 사람들에게도 나타나는 것 같습니다. 저도 젊었으니까요. 30대 중반에 왔었습니다.






대상포진 발생 주요 부위
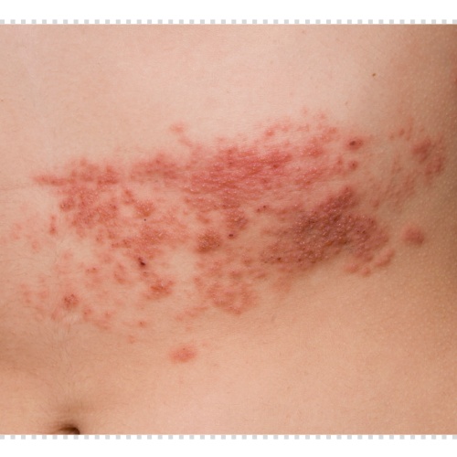
대상포진의 발생 주요 부위는 피부 또는 신경계 쪽입니다. 소아기 때 걸렸던 수두의 바이러스는 사라지지 않는다고 합니다. 몸속에 남아있던 수두 바이러스는 신경을 따라서 이동하고 신경절에 잠복해 있다고 합니다. 그러다가 면역력이 약해지면 신경을 타고 다시 피부로 내려오면서 염증을 일으키기도 하고, 심하면 전신으로 퍼지기도 합니다. 대부분 얼굴, 몸통, 엉덩이 쪽에 생긴다고 합니다. 배, 가슴이 가장 많이 발생하고, 얼굴, 엉덩이, 목, 다리 부위에도 발생한다고 합니다. 저 같은 경우는 귀로 왔습니다. 얼굴부위에 오는 대상포진이 가장 위험하다고 합니다. 얼굴 쪽에는 신체의 신경들이 모여있기 때문입니다. 자칫 더 심한 후유증을 낳기도 합니다. 그리고 특이한 점은 신체부위의 한쪽으로만 온다고 합니다. 저는 왼쪽에만 왔었습니다. 또한 제가 갖고 있던 증상들이 다른 질환들과 비슷해서, 잘못 진단받기도 했습니다.


귀 대상포진 증상과 비슷한 질환
감기
처음에 감기처럼 몸살이 너무 심하게 오고 열도 났었습니다. 근처 병원에 방문하여 감기약을 처방받아먹었었습니다. 하지만 아무런 효과가 없었답니다.
외이도염
귀안에 수포가 생겨 외이도염이라는 진단을 받았었습니다. 외이도염은 외이도의 세균성 감염에 의한 염증이라고 합니다. 겉으로 봤을 때 증상이 거의 비슷하기 때문에 많이 오인받는 것 같습니다.
귀 대상포진 증상
감기처럼 몸살, 발열
머리가 아프고 어지럼증 생김
구토 증상
입맛이 떨어짐
귀 부위에 통증
제가 겪은 증상들입니다. 처음에 감기로 오인해서 병원에 갔다가 감기약을 처방받아먹었지만 효과가 없었습니다. 계속되는 두통, 구토에 응급실에 갔었습니다. 응급실에서는 외이도염이라는 진단을 내려주셔서 처방받은 약을 먹었으나, 역시나 효과가 없었습니다. 마지막에 간 곳이 이비인후과였습니다. 이곳에서 귀 대상포진으로 진단을 내려주셔서 처방받은 약을 먹으니 점차 두통, 통증, 구토 증상이 사라졌습니다. 하지만 저에겐 또 다른 고통이 왔었습니다. 바로 후유증입니다.






귀 대상포진 후유증
대상포진 후유증(합병증)은 수주, 수개월에 걸쳐 오기도 합니다. 그 후유증으로는 불면증, 뇌막염, 안면신경마비, 실명, 청력 손상 등이 있습니다. 제가 겪은 후유증은 청력 손상과 안면마비였습니다. 왼쪽 귀에 수포가 생겼었는데, 신기하게도 왼쪽 청력 저하, 왼쪽 얼굴에만 안면마비가 왔었습니다.
✔ 청력저하(돌발성난청)
돌발성난청은 갑자기 청력이 손실되거나 저하되는 질환입니다. 느껴지는 증상으로는 귀가 먹먹한 느낌을 받습니다. 사실 돌발성난청은 응급질환이라고 합니다. 골든타임이 있기 때문입니다. 대체적으로 발생 후 7일 이내에는 치료를 시작해야 예휴가 좋다고 합니다. 되도록이면 2 차급 이상의 병원엘 방문해 주시길 바랍니다. 원인으로는 스트레스, 뇌종양, 바이러스 감염 등이 있습니다.
✔ 시력 저하
잠시 눈이 침침해지는 느낌을 받았습니다. 하지만 곧 다시 정상으로 돌아왔었습니다
✔ 미각상실
맛이 느껴지지 않는 증상이 있었지만, 이것도 곧 정상으로 돌아왔습니다.
✔ 안면마비(구안와사) = 람세이헌트 증후군
얼굴 한쪽이 갑자기 굳어지거나 이마에 주름이 안 잡힙니다. 입이 삐뚤어져서 음식을 먹거나, 침을 삼키기도 불편합니다. 외관상 보기에도 안 좋아 스트레스를 더 받을 수도 있습니다. 이 증상은 치료만 잘 받으면 예휴가 좋습니다. 하지만 그 치료기간은 개인마다 다를 수 있습니다. 저 같은 경우는 얼굴이 남이 보기에 티가 안 날 정도로 돌아오는데 반년이상은 걸렸습니다.
대상포진 예방방법
대상포진 예방주사
대상포진은 예방주사가 있습니다. 하지만 이 백신이 100% 예방해주지는 못한다고 합니다. 다만 대상포진에 걸렸을 때, 백신을 안 맞았을 때보다 증상이 가볍다고 합니다. 한번 맞으면 대략 5년간 지속된다고 합니다. 대상포진 예방주사는 의사와 상의 후에 접종하는 것이 좋겠습니다. ⇉ 대상포진 예방접종 정보
면역력 챙기기
대상포진의 원인 중 하나는 면역력입니다. 면역력이 약해졌을 때 생긴다고 하니 평소 면역력을 챙겨주는 게 좋습니다. 운동도 하고 몸에 좋은 음식도 먹는 것이 도움이 될 것입니다. ⇉ 면역력에 챙기는 방법
✅ 함께 보면 좋은 글




